
Postdoctoral researcher | Data scientist | Medical image analysis | Biomedical engineer, PhD
I am a biomedical engineer with a strong passion for medical image analysis, artificial intelligence and automated diagnosis. I’m especially interested in translating fundamental findings from the field of computer vision into a clinically relevant algorithm by integrating technical and clinical domain-specific knowledge. I am a critical person who loves to work in an interdisciplinary environment and love to take initiative in organisations and working groups in my spare time.

Intravascular ultrasound segmentation
Support vector machines

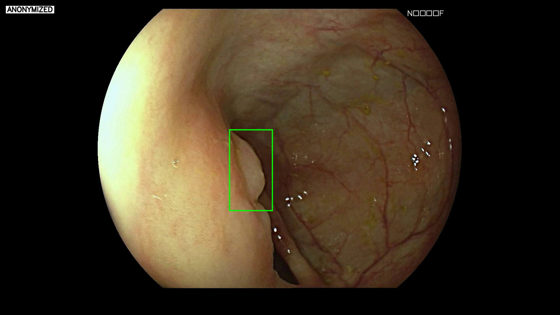
Colorectal polyp detection
Recurrent neural networks

Detection of COVID lesions on lung CT
Deep learning

3D reconstruction of colon wall
Visual SLAM

Top 5 out of > 2.500 abstracts



First out of 760 submissions
